Hitachi Medical Systems Europe introduced what it calls the next level of intelligent Vector Flow Mapping (iVFM) at EuroEcho Imaging 2018, Dec. 5-8 in Milan, Italy.
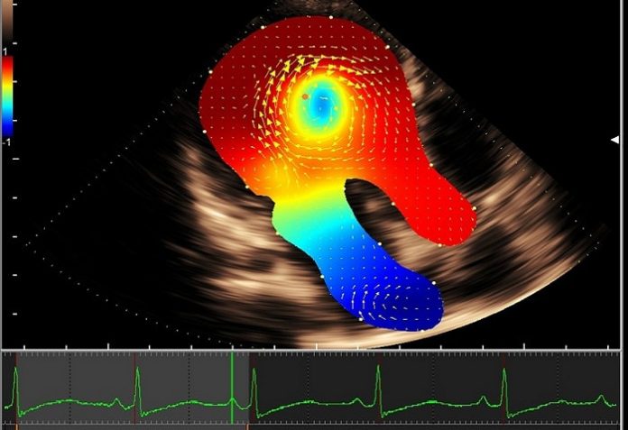
The third generation of Hitachiβs non-invasive intracardiac blood flow visualization technology provides unique information about the intraventricular vortex and its energetic efficiency, including kinetic energy loss, relative pressure, or wall shear stress display and analysis.
Built on the premium 2-D/4-D/4G CMUT Lisendo 880LE ultrasound system as part of the HDAnalytics CV analysis package, the new iVFM features faster data processing through automation for a simplified workflow. The embedded iVFM is now available for both intracardiac and vascular flow structures.
Prof.Jose Luis Zamorano, professor of medicine, head of cardiology at the University Hospital RamΓ³n y Cajal, Madrid, Spain, said, βVFM offers a better insight into cardiac physiology and is a new way of analyzing cardiac resynchronization therapy responders. VFM is easy to analyze and makes creates a better understanding of cardiac diseasesβ.
For more information: www.hitachi-medical-systems.eu


















